トップ / 医学生/研修医の皆様 / ペインクリニックで扱う疾患と治療の現在 / 痛みを呈さない疾患
ペインクリニックで扱う疾患と治療の現在
ペインクリニックにおける非疼痛性疾患
ペインクリニックでは、疼痛を主訴とする疾患の診療をおこない、神経ブロック療法を診断・治療の手段として用いることがあります。一方、突発性難聴、顔面神経麻痺、手掌多汗症など痛み以外の疾患に対しても神経ブロック療法以外にもボツリヌストキシン療法、薬物療法などを応用し、治療効果を得られるものがあります。
突発性難聴
突然発症する一側性の感音性難聴です。病因として、音響刺激・ストレスの関連する内耳血行障害説が有力視されています。治療は、ステロイド、循環改善薬、代謝賦活薬、血管拡張薬、ビタミンBなどの薬物療法、高圧酸素療法に加え、星状神経節ブロックも有効な治療法です。

図.星状神経節ブロックを行っている様子です。

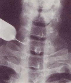
図.星状神経節ブロックのレントゲン像です。

図.右側に星状神経節ブロック行った前後のサーモグラフィ検査を示します。左がブロック前、右がブロック後になります。左側の顔面と手の血流が増え温度が上昇しています。
顔面神経麻痺
突然発症する片側性(両側性のケースもある)の顔面筋の運動麻痺です。水痘・帯状疱疹ウイルス感染によるハント症候群と単純疱疹ウイルス感染が多数を占めるベル麻痺で顔面神経麻痺の7割を占めます。ステロイド療法や抗ウイルス剤投与に加え、顔面神経の再生促進、循環改善を目的に星状神経節ブロックを行なうこともあります。
手掌多汗症
手掌の発汗が著しく、生命予後には影響しませんが、日常生活、社会生活に支障をきたします。軽症例では、抗不安薬や抗コリン薬の内服、アルミニウム化合物外用、イオントフォレーシスなどが有効です。複数回の星状神経節ブロックにより手掌の発汗減少効果が期待できます。重症例では、胸腔鏡下交感神経遮断術によって手掌の発汗停止効果を得ることができます。
顔面けいれん・眼瞼けいれん
顔面けいれんは、多くの場合、血管による顔面神経圧迫が原因です。顔面けいれんは片側性に顔面筋が不随意収縮します。眼瞼けいれんは眼輪筋の不随意収縮が反復し開眼できなくなります。いずれも日常生活、社会生活に支障をきたします。現在はボツリヌストキシンを用いた局所注射によって治療できます。侵襲は少ないのですが、有効期間が3~6ヶ月であるために治療を繰り返すケースがあります。外科治療は、微小血管減圧術により血管による顔面神経圧迫の解除を行います。顔面神経ブロックは、顔面神経圧迫法により一過性に顔面神経麻痺となり、けいれんが消失します。








